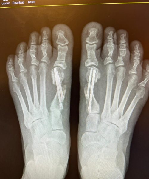
O que é a Cirurgia de Joanete Percutânea

A cirurgia de joanete percutânea é uma técnica que trata joanetes por meio de pequenas incisões e instrumentos especializados, buscando corrigir a deformidade do dedo do pé.

Para quem é indicada

Essa cirurgia é indicada para pacientes com joanetes que buscam uma abordagem menos invasiva. É especialmente adequada para casos leves a moderados de deformidade no dedo grande.

Agende sua Consulta

Agende online pelo Doctoralia ou entre em contato pelo nosso WhatsApp.

Raul Carlos Barbosa - Doctoralia.com.br
Depoimentos

O que os pacientes dizem

O atendimento é com atenção, explicação detalhada e bom acompanhamento do tratamwento.

Carlos Moraes

Muito simpático e atencioso, deu todas as explicações com detalhes, avaliou as alternativas de tratamento respeitando todas as preferências do paciente. Tratei uma tortura total do lesão de Aquiles e venho recuperando muito bem.

Adriano

Atendeu minha avó e foi bastante profissional e didático. Esclareceu muitas dúvidas e teve uma conduta ética frente a possibilidade cirúrgica. Gostamos muito!

Neta da Paciente

Excelente profissional e esclarecedor,bom atendimento

Andrea Costa Lima

A consulta foi muito esclarecedora sobre o problema que tenho no pé

Darlene Villela

Já conhecia dr. Raul, excelente médico, competente e muito educado.

Almerinda Ribeiro Lôbo

Excelente profissional. Estou muito satisfeita com o atendimento prestado em todos os momentos em que fui atendida .

Fabíola Xavier Alves

Ótima consulta. Segurança e cuidado no diagnóstico.

Cristina

Excelente consulta com o especialista. Atencioso e muita clareza nas informações, o que gera segurança no paciente.

Amanda
FAQ

Perguntas Frequentes

A artroscopia do tornozelo é um procedimento cirúrgico que permite visualizar e tratar as lesões dentro da articulação do tornozelo, através de pequenas incisões na pele e de uma câmera acoplada a uma óptica .

 A artroscopia do tornozelo é indicada para pessoas que sofrem de alguma condição que afeta a articulação do tornozelo, como lesões de cartilagem, inflamações, corpos livres, impactos, instabilidade ou artrose .

 A artroscopia do tornozelo é feita sob anestesia local ou geral, dependendo do caso. O cirurgião faz duas ou três pequenas incisões na pele, por onde introduz a óptica e os instrumentos cirúrgicos. A óptica é conectada a uma câmera que transmite as imagens da articulação para um monitor. O cirurgião visualiza e trata as lesões dentro da articulação, como retirar corpos livres, reparar cartilagem, remover inflamação, liberar aderências, estabilizar ligamentos ou colocar prótese. Após o procedimento, as incisões são fechadas com pontos ou fita adesiva .

  • A artroscopia do tornozelo é um procedimento seguro e com baixo risco de complicações. No entanto, como toda cirurgia, pode haver algumas complicações, como infecção, sangramento, lesão de nervos ou vasos, trombose venosa profunda, embolia pulmonar, rigidez articular, dor crônica ou recidiva da lesão .

  • Como

    • A recuperação da artroscopia do tornozelo depende do tipo e da extensão da lesão tratada. Em geral, o paciente recebe alta no mesmo dia ou no dia seguinte à cirurgia. O paciente deve manter o pé elevado e usar gelo para diminuir o inchaço e a dor. O paciente deve usar uma bota imobilizadora ou uma tala por algumas semanas, e usar muletas para não apoiar o pé operado. O paciente deve fazer fisioterapia para recuperar a mobilidade, a força e a função do pé e do tornozelo. O retorno às atividades normais varia de quatro a doze semanas, dependendo do caso .

_ITA8128

Conteúdos

e eventos

Acompanhe dicas, conteúdos e novidades sobre Ortopedia e Traumatologia para Pé e Tornozelo. Um espaço também para você acompanhar as Premiações e palestras realizadas pelo Dr.º Raul.

Raul Carlos Barbosa - Doctoralia.com.br