Depoimentos
O que os pacientes dizem
O atendimento é com atenção, explicação detalhada e bom acompanhamento do tratamwento.
Carlos Moraes





Agende online pelo Doctoralia ou entre em contato pelo nosso WhatsApp.
O atendimento é com atenção, explicação detalhada e bom acompanhamento do tratamwento.
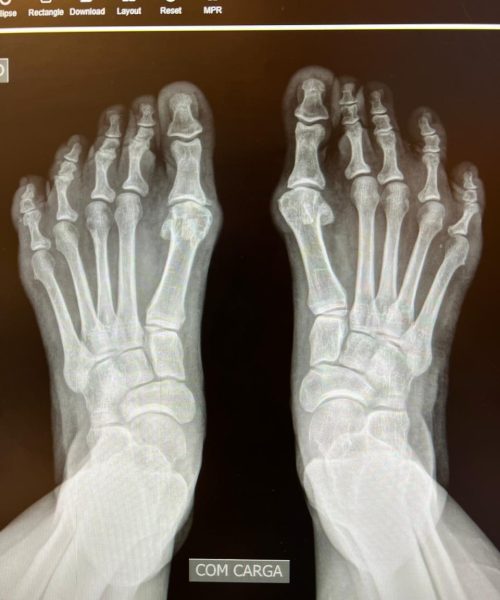
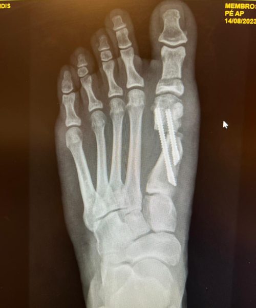
A cirurgia minimamente invasiva é uma abordagem cirúrgica que utiliza pequenas incisões e instrumentos especializados para tratar condições no pé e tornozelo, minimizando danos aos tecidos circundantes.
A cirurgia minimamente invasiva é indicada para pacientes que buscam uma recuperação mais rápida e menos desconforto pós-operatório. É especialmente benéfica para casos selecionados de deformidades e lesões nos pés e tornozelos. de alguma condição que afeta a articulação do tornozelo, como lesões de cartilagem, inflamações, corpos livres, impactos, instabilidade ou artrose .
A cirurgia é realizada através de pequenas incisões, geralmente com o auxílio de um endoscópio. Isso permite ao cirurgião tratar a condição alvo com precisão, reduzindo o trauma aos tecidos circundantes.
Embora seja considerada uma abordagem segura, existem riscos potenciais, como infecção, sangramento e reações adversas à anestesia. É essencial discutir esses riscos com o cirurgião antes da intervenção.
A recuperação costuma ser mais rápida do que em cirurgias tradicionais. O paciente pode esperar retornar às atividades normais gradualmente, seguindo as orientações do cirurgião e realizando fisioterapia, se necessário.
Acompanhe dicas, conteúdos e novidades sobre Ortopedia e Traumatologia para Pé e Tornozelo. Um espaço também para você acompanhar as Premiações e palestras realizadas pelo Dr.º Raul.
Ortopedista e Traumatologista Especialista em Pé e Tornozelo em Brasília.
Copyright © 2023 | Todos os direitos reservados a Dr.º Raul Carlos Barbosa