Depoimentos
O que os pacientes dizem
O atendimento é com atenção, explicação detalhada e bom acompanhamento do tratamwento.
Carlos Moraes







Agende online pelo Doctoralia ou entre em contato pelo nosso WhatsApp.
O atendimento é com atenção, explicação detalhada e bom acompanhamento do tratamwento.
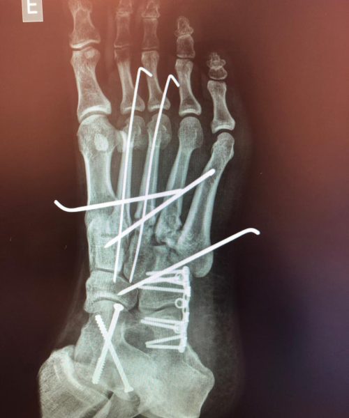
Fraturas no pé e tornozelo referem-se à quebra dos ossos nessas regiões, podendo ocorrer devido a traumas, quedas ou impactos.
Os tratamentos são indicados para pacientes com fraturas que podem variar de simples a complexas, comprometendo a função e a estabilidade.
O tratamento pode incluir imobilização com gesso, tala ou até mesmo cirurgia, dependendo da gravidade da fratura. A cirurgia pode envolver o uso de pinos, placas ou parafusos para fixar os ossos.
Riscos cirúrgicos incluem infecção, má cicatrização óssea e a necessidade de remoção posterior de hardware. O cirurgião deve discutir esses riscos detalhadamente com o paciente.
A recuperação pode variar significativamente, dependendo da gravidade da fratura e do tipo de tratamento. Geralmente, envolve um período de imobilização seguido por fisioterapia para restaurar a função e a mobilidade.
Acompanhe dicas, conteúdos e novidades sobre Ortopedia e Traumatologia para Pé e Tornozelo. Um espaço também para você acompanhar as Premiações e palestras realizadas pelo Dr.º Raul.
Ortopedista e Traumatologista Especialista em Pé e Tornozelo em Brasília.
Copyright © 2023 | Todos os direitos reservados a Dr.º Raul Carlos Barbosa